Unsere Leistungen im Überblick
Sie können Ihren Termin bei uns auch bequem Online buchen
Implantologie
Heute kann man durch das Einbringen künstlicher Zahnwurzeln (Implantate) gesunde Zahnsubstanz schonen, herausnehmbaren Zahnersatz vermeiden oder anatomisch schwierige Verhältnisse bei prothetischen Versorgungen unterstützen. Implantate ersetzen verloren gegangene Zähne und geben das Gefühl echter Zähne zurück. Die künstliche Wurzel besteht aus Titan oder Hochleistungskeramik.
Scanfix
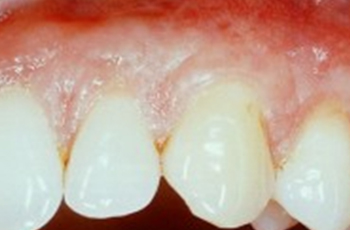
Sofortversorgung einer Zahnlücke
Sofort wieder lächeln: Ihre Zahnlücke ist bei uns in besten Händen
Wir wissen, wie belastend eine Zahnlücke sein kann – sei es aus ästhetischen Gründen oder wegen der Einschränkungen im Alltag. Bei uns müssen Sie nicht länger mit dieser Lücke leben. Dank unserer fortschrittlichen Technik und unserer jahrelangen Erfahrung bieten wir Ihnen die Möglichkeit, eine Zahnlücke sofort mit einem Implantat und einer provisorischen Krone zu schließen.
Lassen Sie uns gemeinsam den ersten Schritt machen. Vereinbaren Sie noch heute einen Termin und erfahren Sie, wie wir Ihnen zu einem neuen Lächeln verhelfen können.
Ästhetische Zahnheilkunde
Die Ästhetische Zahnheilkunde reicht von einer professionellen Zahnreinigung, über zahnfarbene Kompositfüllungen, Zahnersatz in Form von Kronen, Brücken, Inlays und Veneers bishin zu chirurgischen Maßnahmen, die die sogenannte Rot-Weiß-Ästhetik von Zahnfleisch und Zähnen verbessern können. Auch kleinere Zahnfehlstellungen können behoben werden.
Weisheitszahnentfernung
Sanfte Weisheitszahnbehandlung in Expertenhänden
Entdecken Sie bei uns eine einfühlsame und sanfte Weisheitszahnbehandlung, die von Experten durchgeführt wird. Wir verstehen, dass der Gedanke an die Entfernung von Weisheitszähnen beunruhigend sein kann. Deshalb legen wir besonderen Wert darauf, dass Sie sich bei uns wohl und sicher fühlen.
Es ist kein Zufall, dass zahlreiche zahnärztliche Kollegen uns ihr Vertrauen schenken und ihren Patienten unsere Praxisklinik Grein für die Weisheitszahnentfernung empfehlen.
Oralchirurgie
Wir bieten Ihnen ein sehr breites Spektrum der modernen Zahn-, Mund- und Kieferheilkunde. Von der einfachen Zahnextraktion, operativen Entfernung von verlagerten Zähnen, über Wurzelspitzenresektionen, Kieferhöhlenoperationen bis hin zu parodontalen und implantologischen Eingriffen mit und ohne Kieferknochenaufbau.
Kinderzahnheilkunde
Die Kinderzahnheilkunde ist ein wichtiges Gebiet der Zahnmedizin. Mit regelmäßigen Vorsorgemaßnahmen und Untersuchungen schützen Sie die Zahngesundheit Ihrer Kinder. Eine angstfreie Behandlung liegt uns am Herzen, wir sind auch für die kleinsten da.
Parodontologie
Die Parodontologie ist heute ein wichtiger Tätigkeitsschwerpunkt in der zahnärztlichen Praxis. Die sogenannte Parodontose zählt zu einer der Volkskrankheiten des 20. und 21. Jahrhunderts. Damit Sie noch lange kraftvoll zubeißen können, kümmern wir uns um den Erhalt von Knochen und Zahnfleisch mit modernsten Therapiemöglichkeiten.
Schnarchtherapie
Schnarchen belastet nicht nur Ohren und Nerven des Partners, sondern kann auch ernst zu nehmende Nebenwirkungen auf die Gesundheit haben. Die Luftwege können sich während des Schnarchens so weit verengen, dass die Atmung in extremen Fällen bis zu einer Minute und länger aussetzt.
Individualprophylaxe
Die professionelle Zahnreinigung und Aufklärung zur Mundgesundheit ist bei uns Hauptbestandteil der zahnmedizinischen Prophylaxe. Individuell auf Ihre Bedürfnisse wird ein Konzept erstellt, dass Ihre Mundgesundheit langfristig erhalten soll.
Für die Individualprophylaxe sind unsere Prophylaxespezialistinnen zuständig. Sie klären auf, helfen bei Problemen mit der Putztechnik, sowie bei der Benutzung von Zahnseide und geben hilfreiche Ernährungstipps.
Kiefer- und Schmerztherapie
Der Kiefer knackt, die Kaumuskulatur schmerzt. Ein Phänomen der Neuzeit, durch Stress verursachte Verspannungen der Nacken- und Kiefermuskulatur kann es zu ernst zu nehmenden Schmerzen kommen, die den Patienten in seinem Alltag stark beeinträchtigen. Wir und ein erfahrenes Team aus verschiedenen Ärzten gehen der Ursache auf den Grund.
Endodontie
Viele Patienten kennen Ihn, den pulsierenden rasenden Zahnschmerz, der nur durch die Entfernung des Nervgewebes auszuschalten ist, die sogenannte Wurzelkanalbehandlung. Mit modernsten Techniken tun wir alles, um Ihren Zahn zu erhalten.
Angstpatienten
Wir sind für Sie da! Mit Einfühlungsvermögen und Geduld führen wir Sie an eine angstfreie Behandlung heran. Außerdem bieten wir die Behandlungen auch unter Vollnarkose oder mit einem Beruhigungsmittel an.
Wir sind für SIE da.
Unser geschultes Ärzteteam und unsere Mitarbeiterinnen kümmern sich um Ihre Sorgen und Ängste. Es besteht die Möglichkeit einer Behandlung in Intubationsnarkose unter Aufsicht eines Anästhesistenteams in unseren Räumen. Außerdem bieten wir die Sedierung mit dem Medikament Dormicum an, welches intravenös verabreicht wird, und Ihnen ein entspanntes Gefühl gibt. Somit überstehen Sie die anstehenden Behandlungen ohne Ängste.
Trotzdem sollte es das oberste Ziel sein, eine Zahnbehandlung auch ohne Narkose gut zu überstehen. In kleinen Schritten führen wir Sie an die angstfreie Behandlung heran.
Zahnersatz
Tritt ein Zahnverlust ein, können wir heute mithilfe moderner Zahntechnik, die in unserem Fall im klinikeigenen Labor hergestellt wird, für ästhetisch und funktionell vollwertigen Zahnersatz sorgen. Kurze Wege im eigenen Haus sind nicht nur ein zusätzlicher Service, sondern garantieren auch ein höchstes Maß an Individualität bei Ihrer Versorgung.
Zahnersatzbehandlungen im Überblick
Falten- und Schönheitsbehandlung
Dr. Hlavacka kommt regelmäßig in unsere Praxisräume, um Ihre Wünsche nach einem faltenfreien Gesicht, volleren Lippen und frischerem Aussehen zu erfüllen. Er berät Sie gern über die unterschiedlichen Methoden und findet für Ihr Anliegen die richtige Methode.

Dr. Hlavacka
Dr. Hlavacka kommt regelmäßig in unsere Praxisräume, um Ihre Wünsche nach einem faltenfreien Gesicht, volleren Lippen und frischerem Aussehen zu erfüllen. Er berät Sie gern über die unterschiedlichen Methoden und findet für Ihr Anliegen die richtige Methode.
In unserer Praxis erhalten Sie eine individuelle Beratung durch unseren erfahren Arzt, Dr. Slavomir Hlavacka. Sprechen Sie uns gerne an und vereinbaren Sie einen unverbindlichen Beratungstermin.
Invisalign
WE make your Smile!
Wir bieten Ihnen in unserer Praxis die Möglichkeit, kleinere Fehlstellungen unkompliziert und unsichtbar mit Invisalign Schienen zu korrigieren. Dazu gehören Engstände, Lücken oder Drehstände von einzelnen Zähnen.
Die unsichtbare Spange eignet sich besonders für Patienten, für die aus ästhetischen oder allergischen Gründen keine festsitzende Spange denkbar ist.
Die unsichtbare Zahnspange ist eine wirklich komfortable Methode der Kieferorthopädie, um auch solchen Patienten zu einem neuen und schönen Lächeln zu verhelfen, die keine feste Zahnspange tragen wollen. Lassen Sie sich gerne von unseren Ivisalign Spezialisten in der Praxis beraten.



